
من غير الممكن معرفة جنس الجنين اذا كان ذكر أم انثى في الأسابيع الأولى من فترة الحمل، لأنه في هذه الفترة تكون جميع الأجنة صغيرة أو متشابهة بشكل كبير في المراحل المبكرة من فترة الحمل.
يظهر نوع الجنين بعد دخول الأسبوع السادس عشر من الحمل، أي في منتصف الشهر الرابع من الحمل، يتم تحديد نوع الجنين عن طريق فحص السونار أو التصوير بالموجات الصوتية لتصوير الجنين داخل الرحم حيث يكون تحديد جنس الجنين دقيقًا في حوالي 100 بالمائة من الحالات في حالة عدم وجود تشوهات الأعضاء التناسلية.
في بعض الأوقات يصعب على الطبيب معرفة نوع الجنين بسبب إتخاذ الجنين وضعًا لا يسمح برؤية أعضاءه التناسلية بشكل واضح، ويعودُ السّبب في ذلك إلى التفاف الحبل السري حول أحد الفخذين وأحيانا تكون حركة الجنين غير منتظمة.
إذا كان هناك أي شك حول جنس الجنين، فيجب إجراء اختبار آخر بعد أسبوعين إلى ثلاثة أسابيع بواسطة فاحص ذي خبرة بالموجات فوق الصوتية.
يمكن للطبيب معرفة نوع الجنين بشكل أفضل عندما يكون الجنين مستلقي على ظهره نتيجة وضوح الأعضاء التناسلية بشكل أفضل، لذلك من المفضل الخضوع للسونار في نهاية الشهر الرابع من الحمل حتى تأخذ أعضاء الجنين وضعها الطبيعي وتكون أكثر وضوحاً.
تابعينا على صفحتنا على الفيس بوك: اضغطي هنا
من المهم، أن تعرفي أنه في بعض الحالات لا يستطيع الطبيب تحديد نوع الجنين وقد يقع في تشخيص خاطئ.
مثال على ذلك: لجوء بعض النساء الحوامل للطبيب في نهاية الشهر الثالث، حيث يظهر في السونار بروز أعضاء الجنين التناسلية خارج الجسم، في هذه المرحلة من الحمل تتكون فيها الأعضاء التناسلية وتكون صغيرة جداً، بالتالي من الممكن الوقوع بتشخيص خاطئ بسبب ذلك، حيث يعتقد الطبيب أن جنس الجنين ذكر بسبب بروز العضو التناسلي.
يعتمد التشخيص الجنسي للجنين على العلامة السهمية وهي اتجاه الحديبة التناسلية - يشير الاتجاه الصاعد إلى جنين ذكر، والاتجاه الهابط يشير إلى جنين أنثى
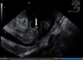
هنا يظهر جنين ذكر

هنا يظهر جنين أنثى
.jpg)
تحليل الدم لمعرفة نوع الجنين
يمكن التعرف على جنس الجنين في وقت مبكر من الأسبوع السابع من الحمل من خلال فحص الدم، يفحص فحص الدم خلايا الجنين الموجودة في الدم لتشخيص ما إذا كانت تحتوي على كروموسوم Y أم لا.
تكلفة هذا الاختبار باهظة الثمن، وبالتالي يتم إجراؤه فقط إذا كان هناك سبب مبرر للتشخيص المبكر لتجنب الامراض الوراثية وليس بدافع الفضول.
حتى تتمكنين من معرفة جنس جنينكِ. في هذه الأثناء يمكنكِ الإطلاع على اعراض الحمل بولد والتي قد تساعدكِ في التنبوء في جنس جنينكِ القادم.
26/01/2021 08:40 pm 5,262

.png)



